2021年1月,Mi-thos®经导管二尖瓣置换系统(简称“Mi-thos®”)顺利通过科技部遗传办备案审批,宣布正式进入注册临床研究阶段。Mi-thos®是由上海纽脉医疗和国家生物医学材料工程技术研究中心团队、中山医院王春生主任牵头,与阜外医院、西京医院等医学团队联合技术攻关,参与中国科学技术部“十三五”国家重点研发计划并获上海市科委“科技创新行动计划”生物医药领域科技支撑项目支持,累计申请42项国家专利,历经多年开发成功的一款产品。Mi-thos®有望成为中国首款上市的经导管介入二尖瓣置换的产品,造福广大的二尖瓣反流(“MR”)疾病患者。
二尖瓣反流(“MR”)是老年人最为常见的心脏瓣膜病变,目前的主流治疗方式是通过外科开胸手术置换瓣膜,手术创伤大、恢复期长,大部分的患者由于存在多种合并症且是高龄高危而放弃治疗。经导管二尖瓣置换术(“TMVR”)大大降低了手术创伤,成为继经导管主动脉瓣置换术(“TAVR”)之后的又一个研究热点。作为瓣膜行业的喜马拉雅高峰,近年来欧美多个医工结合团队投巨资研发TMVR技术,但由于二尖瓣结构的复杂性与较高的技术壁垒,研发难度非常大,目前绝大多数均处于探索性或早期临床探索阶段。
作为瓣膜行业里尤其是二尖瓣领域的领军企业,纽脉医疗成立之初秉承“创新造福生命”的使命,深度布局瓣膜领域,精准识别临床需求,在“十三五”国家重点研发计划和上海市科委“科技创新行动计划”生物医药领域科技支撑项目“新型心脏微创伤二尖瓣置换系统研发及成果转化”框架下,深耕医工结合,成功研发Mi-thos®经导管二尖瓣置换系统(简称“Mi-thos®”)。Mi-thos®系统是通过心尖小切口,将瓣膜输送至病变的二尖瓣区域后展开,替代病变的二尖瓣膜。传统的开胸手术一般需要四到五个小时,而Mi-thos®系统只需一个小时之内就能完成瓣膜植入。Mi-thos®经导管二尖瓣置换系统根据国人的病理解剖特点量身打造,采取“刚柔并济”的内外双层支架创造性设计(Invent)理念,细心呵护国人“心”。Mi-thos®外架的D形结构设计可有效贴合二尖瓣的生理结构,同时采用密封膜有效防止瓣周漏。独特的三层倒刺锚定结构可有效防止瓣膜移位,提高手术安全性。
Mi-thos®自2018年5月登上EuroPCR年度学术创新(Innovators Day)舞台以来,不断引领行业发展方向。2019年5月,复旦大学中山医院成功完成亚洲首例经导管二尖瓣置换术,Mi-thos®成为国内第一款获批开展探索性临床应用的经导管二尖瓣置换系统。目前,Mi-thos®已成功于复旦大学附属中山医院、西京医院完成多例探索性临床人体应用(Implement),应用结果显示,所有患者手术流程顺利,术后瓣膜功能明显好转,无严重并发症发生,瓣膜反流消失,随访期临床效果令人满意,充分体现了Mi-thos® 的安全性与有效性。2020年11月,Mi-thos®成为国内首个通过国家药品监督管理局(NMPA)创新医疗器械特别审查程序(2020年第19号)审批的二尖瓣置换产品,进一步体现了公司的创新性以及研发实力。2021年1月,Mi-thos®顺利通过科技部遗传办备案审批,宣布正式进入注册临床研究阶段,有望成为中国首款上市的经导管介入二尖瓣置换的产品,给更多二尖瓣反流患者带来福音。

Mi-thos®成功释放

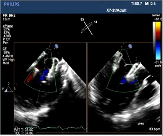
瓣膜释放后,TEE显示反流消失
Mi-thos®成功进入注册临床阶段是国内二尖瓣置换领域的重大突破,更标志着国产器械自主创新、研发能力的进一步提升。公司在二尖瓣领域的创新道路不断突破国内器械发展me too的瓶颈,实现从me better向me beyond的转化。